Alcohol
Alcohol is de meest gebruikte drug in Nederland. De effecten van alcohol zijn al na het gebruik van 5 tot 10 gram te zien in de hersenen. Dat is één biertje! Alcohol heeft verschillende effecten in het brein. Het oefent zijn effecten uit op neurotransmitters. Dit zijn stofjes in het brein. Deze geven informatie door van een deel van het brein naar een ander deel van het brein. Neurotransmitters binden zich aan een receptor. Deze receptoren zijn belangrijk voor de informatieoverdracht in het brein. Er zijn remmende stofjes (GABA), die zorgen dat impulsen geremd worden, en stimulerende stofjes (glutamaat) die zorgen dat de impulsen sneller verlopen. Alcohol heeft vooral werking op de remmende neurotransmitter GABA. Het versterkt het effect van GABA doordat het zorgt dat GABA sneller kan binden aan receptoren in het brein. Het effect hiervan is dat de impulsen in je brein geremd worden.
Daarnaast oefent alcohol zijn effecten uit op glutamaat. Glutamaat is een neurotransmitter dat de hersenen juist stimuleert, maar omdat dit juist wordt geremd is er minder stimulatie van het brein. Kortom, alcohol stimuleert de remming in het brein en het remt de stimulatie in het brein, wat uiteindelijk leidt tot een trager werkend brein. Dit is het mechanisme achter de kalmerende werking van alcohol.
De effecten van alcohol op het gedrag van gebruikers is terug te leiden naar de invloed van alcohol op GABA en glutamaat in bepaalde hersengebieden:
- In de hippocampus: de hippocampus is belangrijk voor het geheugen. Omdat dit deel in de hersenen wordt geremd door alcohol ontstaan er ‘gaten’ in het geheugen. Misschien herken je het wel, dat je tijdens het stappen een black-out of een grey-out hebt.
- In het cerebellum: het cerebellum is belangrijk voor motoriek. Omdat dit hersendeel geremd wordt door alcohol kan je na gebruik minder goed lopen en val je sneller.
- In de prefrontale cortex: de prefrontale cortex is belangrijk voor het controleren van gedrag. Omdat dit deel wordt geremd door alcohol worden mensen impulsiever en denken ze minder na over hun daden. Een bekende term hiervoor is ‘Dutch Courage’, de term die wij Nederlanders hebben gekregen omdat wij vroeger veel zelfvertrouwen en moed kregen na het drinken van alcohol in de oorlog.
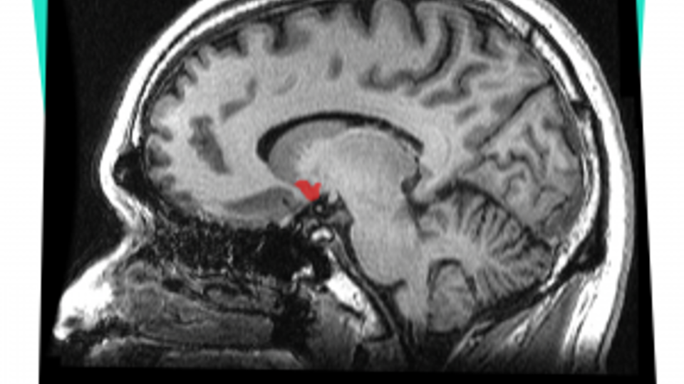
Daarnaast heeft alcohol een indirect effect op dopamine in het brein. Dopamine is een stimulerende neurotransmitter. In een specifiek hersengebied, genaamd de nucleus accumbens (zie afbeelding), zorgt dopamine voor een belonend effect. Dopamine geeft je een fijn gevoel. Het komt ook vrij bij eten en seks. Alcohol zorgt dus voor een beloning in het brein. Hierdoor heeft alcohol een verslavende werking. Als de nucleus accumbens gestimuleerd wordt door veel dopamine, is er sprake van veel genot. Maar aan de andere kant, als iemand opeens minder alcohol gaat drinken en de nucleus accumbens minder dopamine binnenkrijgt, ontstaan er ontwenningsverschijnselen zoals vermoeidheid en somberheid.
 
        